Notre étonnant squelette
Résumé: Les os du squelette forment la charpente du corps humain. Mais loin d’un matériau uniforme comme le métal d’une poutre ou la brique d’un mur, nos os comportent une enveloppe dense et rigide, résistant aux efforts, et un cœur alvéolaire léger, siège de multiples fonctions dont la production des lymphocytes. De même les articulations sont de diverses sortes, adaptées selon les besoins à la flexion, à la rotation ou à une association des deux.Organe vivant, l’os se reconstitue en permanence à partir de cellules ostéoblastes, tandis que les ostéoclastes résorbent le vieux tissu osseux. La réparation des os cassés se fait en deux phases : une reconstitution rapide par des fibres orientées dans tous les sens suivie d’un dépôt soigneux de fibres disposées en lamelles. Tous ces processus finement agencés et bien coordonnés sont l’exact contraire du hasard et dénotent leur anticipation intelligente selon un plan détaillé.
Introduction:
Le corps humain peut faire des mouvements extraordinaires: l’équilibre du danseur, la dextérité du pianiste, l’effort de l’athlète, la précision du dessinateur. Ces exemples et d’autres nous sont tellement familiers que nous prenons leur dextérité comme allant presque de soi. Et pourtant cette maîtrise du mouvement repose sur une interaction complexe entre le cerveau et les nerfs, le cœur et les poumons, le muscle et les ligaments, et naturellement les os. Car notre squelette osseux est la clé de voûte de l’ensemble – une charpente légère, résistante et flexible qui soutient tout ce que nous faisons.
Comment une telle charpente aurait-elle pu évoluer graduellement sur des millénaires ? Même les fonctions les plus élémentaires d’un organisme complexe exigent l’interdépendance précise des pièces conçues de façon appropriée. Elles sont vitales pour des fonctions telles que respirer, se mouvoir, obtenir sa nourriture et fuir devant le danger. Comment une espèce pourrait-elle non seulement survivre mais aussi se reproduire tant que ces pièces ne sont pas entièrement développées ? Notre squelette est-il réellement le résultat d’événements aléatoires pendant des millénaires, ou bien est-il en fait le produit d’un plan méticuleux ? Dans ce dernier cas, nous devrions être capables de reconnaître quelques traits de ce plan. Faisons donc brièvement le tour de cette remarquable structure dans laquelle nous vivons, nous mouvons et avons notre être, et voyons ce que nous pouvons trouver.
Rugueux et lisse:
Lorsqu’on regarde la surface des os, on voit tout de suite que certaines zones sont rugueuses tandis que d’autres sont lisses. Les zones rugueuses sont celles où les muscles sont fixés à l’os, tandis que les zones lisses sont couvertes d’un cartilage glissant où les jointures s’articulent. Imaginez les problèmes que nous aurions si les muscles devaient être fixés aux zones lisses, ou si les zones d’articulation étaient rugueuses. Les muscles s’échapperaient avec une horrible facilité et la douleur de bouger les articulations serait insoutenable. Au lieu de cela, l’os est rugueux exactement là où il doit l’être et lisse exactement là où il doit l’être. C’est bien une caractéristique d’un plan.
Des articulations adaptées:
Il est remarquable que le squelette humain comporte quatre différentes sortes d’articulations, chacune d’elles étant adaptée à la fonction particulière qu’elle doit remplir. Ces quatre sortes sont: 1) les joints à rotule, qui donnent la liberté de mouvement dans différentes directions (par exemple le fémur et l’os de la hanche); 2) la diarthrose, qui ne permet le mouvement que dans un seul plan (par exemple le genou); 3) la diarthrose rotatoire, qui permet une certaine liberté de mouvement dans plusieurs directions (par exemple le poignet) et 4) les articulations du crâne qui sont inamovibles. Comment un vertébré survivrait-il avec le mauvais type d’articulation au mauvais endroit ?
On peut imaginer les problèmes si les articulations du crâne
bougeaient facilement ou si celle du genou était inamovible. Mais non, chacun de ces types d’articulations remplit exactement son rôle. Cela aussi est caractéristique d’un plan.

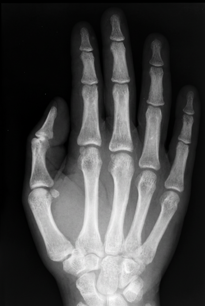
Radiographie des os d’une main humaine. Les os sont lisses et glissants là où ils s’articulent, donnant une excellente dextérité. Image: A. Ciesielski, www.sxc.hu
Structure:
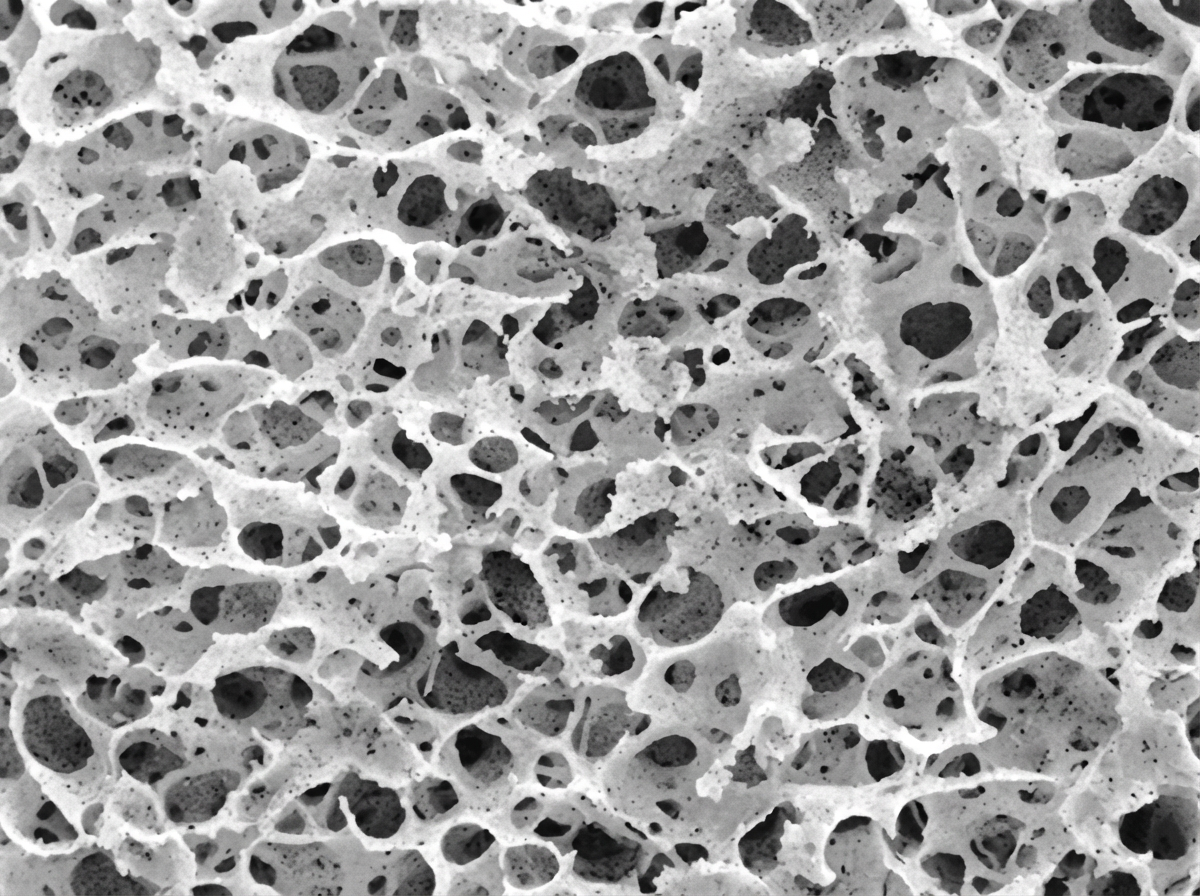
Si l’on regarde la coupe transversale d’un os long, on voit facilement que sa structure n’est pas uniforme. La partie extérieure est dure et dense, mais à l’intérieur il y a un os spongieux en forme de nid d’abeille et au centre on trouve la moelle osseuse molle. Il y a là un parfait mélange de force et de légèreté, donnant des zones dures et fortes là où c’est nécessaire, mais économisant le poids par une partie spongieuse là où il convient. Y a-t-il simplement là le fruit du hasard ? Non, car cela ressemble encore à une autre caractéristique d’un plan.
Gros-plan d’os spongieux montrant sa structure de nid d’abeille, une superbe combinaison de légèreté et de force. Image: patrix, www.flickr.com

Composition:
En examinant la composition de l’os, on constate qu’il s’agit d’un mélange de composés minéraux et organiques. Le minéral est du phosphate de calcium, alors que les composants organiques sont surtout de la protéine collagène. C’est ce matériau composite qui donne à l’os ses propriétés spéciales. Par lui-même le minéral est dur mais fragile et par elle-même la protéine est flexible mais ne peut pas supporter de poids. Réunis, le minéral et la protéine font le mariage de propriétés parfaites pour le mouvement : un matériau fort et flexible, facilement capable de supporter les contraintes et les chocs qu’il subit. Cette remarquable combinaison évoque un plan délibéré.
Maintenance:
Nous y pensons à peine, mais nos os sont étonnamment actifs. Ils sont constamment renouvelés à un rythme tel que l’équivalent de tout notre squelette est remplacé au bout de sept ans ! Au centre de cette activité se trouvent deux types de cellules, les ostéoblastes et les ostéoclastes. Les ostéoblastes sont les cellules formatrices de l’os, responsables de la régulation de la matrice osseuse et de l’introduction du calcium et du phosphate.
En revanche, les ostéoclastes assurent la résorption de l’os: ils détruisent le tissu osseux vieilli. Un mécanisme sophistiqué de rétrocontrôle unit les activités des ostéoblastes et des ostéoclastes, ce qui est absolument nécessaire. Car si les ostéoclastes devenaient beaucoup plus actifs que les ostéoblastes, alors le squelette dépérirait au point de devenir dangereusement faible. Inversement, si les ostéoblastes devenaient beaucoup plus actifs que les ostéoclastes, alors le squelette deviendrait dangereusement surdéveloppé.
Comment cet équilibre essentiel, avec ses mécanismes complexes de rétrocontrôle, aurait-il pu se développer très graduellement par l’évolution ? Pour que le corps fonctionne avec succès, la totalité du système de cellules spécialisées et de mécanismes de rétrocontrôle doit être en place et en état de marche en même temps. Cela résulte donc manifestement d’un plan.

Radiographie d’un os de jambe humaine brisé, situation désastreuse sans notre système intégré de réparation. Cette capacité étonnante de maintenance de notre squelette montre la main d’un créateur bienveillant. Image: Tsu Nimh, www.sxc.hu
Réparation:
Bien que le squelette humain soit capable de beaucoup de choses, il arrive que les contraintes qu’on lui impose soient un peu trop fortes. Les week-ends de ski se terminant avec une jambe cassée sont bien connus ! Heureusement notre squelette possède un système de réparation intégré, qui opère en deux phases. La première dépose les fibres osseuses en suivant un tissage aléatoire. C’est rapide mais relativement peu solide. Cependant, elle est suivie d’une deuxième phase où les fibres se déposent plus lentement mais suivant une disposition lamellaire plus solide. Ainsi le corps opère un « rafistolage » rapide suivi d’une réparation en profondeur plus longue. Une fois encore on doit se demander comment cela aurait pu se développer graduellement par évolution ? Il y a là toutes les marques d’une stratégie mûrement préparée. Cela ressemble plutôt aux services d’un secouriste suivis d’un traitement hospitalier élaboré : c’est un plan complet de service de santé.
Conclusion:
Un peu comme un morceau de roche au bord de la mer, nos squelettes nous disent « conçu intentionnellement ! » de bout en bout. On doit alors inévitablement se demander qui a conçu le plan ? Un plan délibéré ne peut provenir que de l’esprit d’un Créateur intelligent. Quel genre de Créateur a la capacité de créer un matériau aussi extraordinaire, formé dans une structure aussi élaborée, avec des propriétés aussi étonnantes ? La réponse est évidente pour tous, sauf pour ceux qui ne veulent pas voir.
Cet article est publié par le Centre d'Études et de Prospective (CEP)
Voir l'article sur le site